新利体育
当前位置: 首页 > 就诊指南 > 常见眼病新闻 > 正文

新利体育课堂:后节频域OCT前节模块的运用

作者:未知 2018-09-07 10:00:56
字体大小:
【导读】新利体育课堂:后节频域OCT前节模块的运用

  首先,要进行前节扫描时, 要你选择扫描模式里的前节扫描模块(如下图放大部分1所见)


新利体育课堂:后节频域OCT前节模块的运用1.jpg

  接下来,你就可以把视频框(放大部分2所见)中所见的扫描线,放至你所需要扫描的眼表部位。然后再适当前后调整检查距离按钮(放大部分3所见),你所需要扫描部位的OCT断层图将会显示出来。再点击采集键就可以获得OCT图了。

  那么接下来,再来分别展示下角膜病、青光眼、白内障、干眼症等疾病的前节OCT检查运用吧!

  角膜篇

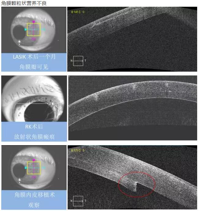
  1、角膜分层观察 OCT 轴向分辨率高达5μm,远高于UBM(20--60μm),可识别出泪膜、上皮层、前弹力层、基质层、后弹力层/内皮层

  2、角膜厚度评估,角膜水肿、瘢痕、混浊、溃疡、异物、炎症、胬肉等断层观察

  3、角膜屈光手术后角膜瓣观察、角膜厚度评估等

  4、后弹力层角膜内皮移植术(DSEK)、板层角膜移植术、白内障术后内皮层脱落等术后观察


新利体育课堂:后节频域OCT前节模块的运用2.jpg

新利体育课堂:后节频域OCT前节模块的运用3.jpg

新利体育课堂:后节频域OCT前节模块的运用4.jpg

新利体育课堂:后节频域OCT前节模块的运用5.jpg

  新利体育课堂:后节频域OCT前节模块的运用11.jpg


  青光眼篇

  1:OCT 前节断层扫描可识别出巩膜突、Schwalbe 线 、Schlemm 管 等结构,且辨识度很高,巩膜突(78.9%)、Schwalbe线(93.3%),若对图像进行放大查看, 更佳。

 


新利体育课堂:后节频域OCT前节模块的运用12.jpg

新利体育课堂:后节频域OCT前节模块的运用13.jpg


  白内障篇

  1:白内障混浊晶体观察

  2:人工晶体位置观察


新利体育课堂:后节频域OCT前节模块的运用14.jpg

  


新利体育课堂:后节频域OCT前节模块的运用15.jpg

 

在线咨询
返回

新利体育微信公众号 微信公众号