新利体育
当前位置: 首页 > 就诊指南 > 常见眼病新闻 > 正文

惊险!争分夺秒,多科联动,西安新利体育成功抢救视网膜中央动脉栓塞患者

作者:西安新利体育 2019-07-15 23:25:33
字体大小:
【导读】一名年龄60岁左右的大妈面色凝重,匆匆忙忙的赶到了医院,被诊断为左眼视网膜中央动脉阻塞。西安华夏眼科医院争分夺秒,多科联动,成功抢救视网膜中央动脉栓塞患者视力。

  7月11日下午5:31,在结束了一天的忙碌工作后,医院的医护人员正准备下班。这时一名年龄60岁左右的大妈面色凝重,匆匆忙忙的赶到了医院。

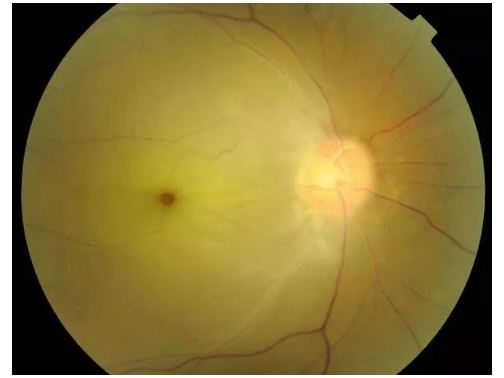
捕获.JPG

  据患者介绍,当天早上左眼忽然出现黑影,但是过了一会又恢*正常了。下午3点左右,左眼视力下降到几乎 看不见!王丽丽院长接诊后,经过详细的询问以及根据患者的主诉和症状分析,初步诊断为左眼视网膜中央动脉阻塞!

捕获2.JPG

  视网膜中央动脉是负责给眼底的视网膜提供血液供应的,它对眼睛的重要性就好比心脏对于人的重要性一样。所以视网膜中央动脉一旦发生阻塞,患者会瞬间失明,如果动脉 阻塞,病人患眼会立刻失去光感!不少患者在就诊的时候就已经错过了较佳的抢救时机。

捕获3.JPG

  病情就是命令!院长当机立断,立即组织医院特检科、检验科、药房、住院部的医生以及护士做好急症抢救准备,全力以赴展开抢救。

捕获4.JPG

  此时此刻,大家已经全然忘记了一天的疲惫,都在和疾病争抢时间。


  经过持续一个小时紧急的抢救,直到下午六点半,病人经过检查及处理,病情才趋于稳定。这时,所有医护人员一直紧绷悬着的心也才安定下来。


  术后第二天,医护人员再次检查病人的眼睛情况时,左眼视力已经恢*了正常!

捕获6.JPG

  “你若生死相托,我必全力以赴”——这位幸运的患者能够抢救成功,不仅与医务人员有高度的责任心,及时正确的诊断和救治有关,更与王院长高明的医术水平密不可分。在生命健康安全面前,作为医生西安新利体育的医护人员全力以赴,没有犹豫、立刻执行!


  为王院长医德、医术点赞!


  


在线咨询
返回

新利体育微信公众号 微信公众号